今天要和大家分享的是《我是如何開始我的矯正歷程》

上面是我還沒矯正的照片
不浮誇...我根本找不到一張露齒笑
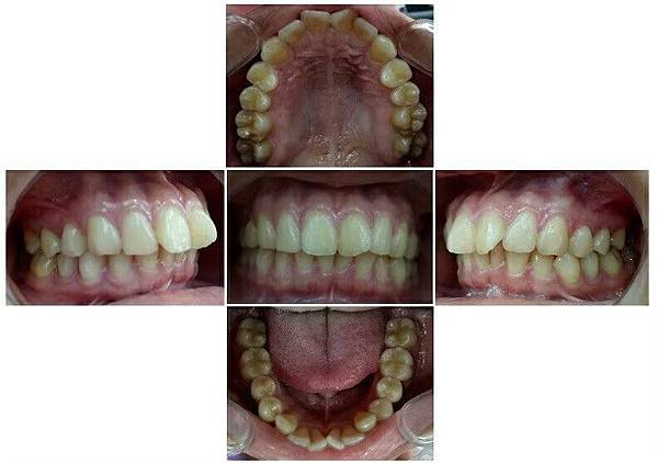
只好附上診所拍的↓(醫師專業拍)

我的牙齒可能不是特別誇張的爆或特別誇張的擠
小時候我也不懂什麼關於牙齒的問題
我只知道它歪歪的
對於一個愛漂亮的小女生當然就想要調整一下
那時候我就認識我現在的老闆 Dr.ku
那時候只有做傳統矯正
而Dr.ku 那時候也只在台北的醫院
如果我做傳統矯正時常要回去
加上之後可能面臨考大學根本不知道到時候會變怎樣
所以Dr.ku就拒絕我了😭😭😭
過了幾年後...
Dr.ku擁有了自己的診所
後來我也到那裡上班
剛上班時慢慢開始有隱適美
我那時候其實什麼都不懂
只知道那時我正在讀大學
然而身邊的同學都帶傳統矯正
所以我知道他們吃東西很麻煩還要時常回去換線
我就告訴自己隱適美這麼好看又方便,而且也能矯正
我一定要選這個💪
後來就跟Dr.ku 再次提出我想矯正的想法
這次她終於沒有拒絕我了😂😂😂
於是開始了我的矯正歷程
有配戴隱適美之後更能了解這整個在做什麼
所以回到我牙助的身分我更能與別人分享
漸漸的我也了解一些道理
矯正不單單只是為了美觀
有時候因為其他療程需要
而或者矯正後您可以更加好清潔牙齒
做好清潔牙齒的工作後自然而然很多問題就會慢慢不存在
像是蛀牙、牙周病....等
最後與大家分享我近期的生活照片
終於會露齒笑了😂😂😂


配戴隱適美的好處就是幾乎是看不見你在矯正![]()
之後會在與大家分享我配戴隱適美的狀況喲💕
到時候在補上專業的口內照
大家就會看到跟之前的差異了
因每個的狀況不同
若您們想要趕快更近一步了解自己牙齒的狀況
也可以趕緊預約Dr.ku的時間了解一下

佳禾牙醫診所
🏠:桃園市中壢區五華街100號
🌹Google:
https://maps.app.goo.gl/ZqL9E6UkwjBSW4dc7
🌹Facebook:
https://www.facebook.com/Joyfuldentalclinic/
手機📱:0900-579-706
電話☎️:(03)458-0600
Line✅:@xju3905n
留言列表
