close
今天是一個特別的日子所以一定要來發文告訴大家啦~~~
今天是我好朋友點顛的生日🎂
要來祝福她之前要先來賣一下她😜

左邊就是青春洋溢的點顛
等等還有更勁爆的照片要給大家看😏
身為護理師的她從小就了解
為了讓牙齒更好,不要因為牙齒凌亂造成刷不乾淨,延伸牙周、蛀牙...問題,她也跟我一樣懷抱著矯正夢
當然少數也跟變漂亮有關🤣
她是我第一位負責的病人
我認真告訴她傳統矯正對她忙碌的工作以及牙齒狀態不適合
還好她把我的話聽進去了
選擇《隱適美》
現在就算她上班很忙也可以偶爾來診所看看我和Dr.Ku(我只是順便的
)
也因為選擇了隱適美她的舒適度大幅提升
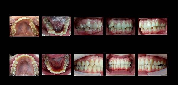
現在讓大家看看她做了一年隱適美的變化

順道一提,她是一個極度認真配戴的人,因為隱適美屬於自主性的矯正,它可以自由拿上拿下,所以大家一定要認真的配戴才會有好的結果喲
最後 祝點生日快樂🥳
還是要賣幾張她矯正得多開心的照片




喜歡才會與大家分享💗
我們的矯正這邊做的👇🏻

佳禾牙醫診所
🏠:桃園市中壢區五華街100號
🌹Google:
https://maps.app.goo.gl/ZqL9E6UkwjBSW4dc7
🌹Facebook:
https://www.facebook.com/Joyfuldentalclinic/
📱:0900-579-706
☎️:(03)458-0600
✅:@xju3905n
文章標籤
全站熱搜
留言列表
